Современные методы эстетической стоматологии: от виниров до ортодонтических кап
Стремление к красивой и здоровой улыбке — это не просто дань эстетике, но и важный вклад в общее состояние здоровья и уверенность в себе. К счастью, современная стоматология предлагает целый ряд эффективных и малотравматичных решений для коррекции самых разных недостатков: от небольших сколов и трещин до серьезных проблем с формой, цветом и положением зубов. Одним из ведущих центров, предлагающих инновационные решения для восстановления и улучшения зубов, является клиника brillant.dental, где применяются передовые технологии выравнивания и восстановления зубного ряда и эстетики.
Композитные виниры: Быстрая эстетическая коррекция
Композитные виниры — это тонкие накладки на переднюю поверхность зубов, которые изготавливаются из высококачественного пломбировочного материала прямо в кресле стоматолога. Это решение идеально подходит для тех, кто хочет получить видимый результат быстро и без значительного обтачивания зубной эмали.
Основные преимущества композитных виниров:
-
Скорость. Виниры можно создать и установить за одно посещение клиники https://brillant.dental/.
-
Минимальная инвазивность. Требуется лишь незначительная обработка поверхности зуба для лучшей адгезии.
-
Доступность. Этот вариант, как правило, более экономичен по сравнению с керамическими аналогами.
-
Возможность коррекции. При необходимости винир можно легко отремонтировать или подкорректировать его форму и цвет.
Чаще всего композитные виниры применяют для маскировки небольших дефектов: щелей между зубами (трем и диастем), сколов, пятен на эмали, которые не поддаются отбеливанию, или для коррекции неидеальной формы зуба. Это отличный способ локально улучшить эстетику улыбки. Подробнее о тонкостях этой процедуры можно узнать на странице, посвященной композитным винирам в Одессе.
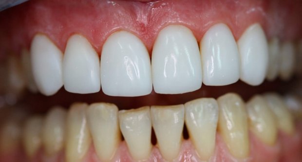
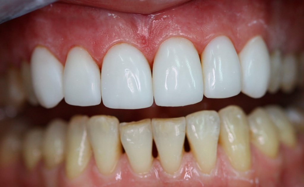
Циркониевые коронки: Прочность и безупречная естественность
Когда речь идет о восстановлении сильно разрушенных зубов, имплантатов или необходимости протезирования нескольких зубов подряд, лучшим выбором часто становятся коронки из диоксида циркония. Этот материал совершил настоящую революцию в ортопедической стоматологии, сочетая в себе беспрецедентную прочность и высочайшие эстетические качества.
Почему циркониевые коронки так популярны?
-
Биосовместимость. Диоксид циркония гипоаллергенен и совершенно безопасен для организма, что делает коронки идеальными для пациентов с чувствительностью к металлам.
-
Исключительная прочность. Они способны выдерживать самые высокие жевательные нагрузки, что позволяет использовать их для восстановления жевательных зубов.
-
Идеальная эстетика. Цирконий обладает светопропускающими свойствами, схожими с натуральной зубной эмалью, что позволяет добиться абсолютно естественного вида без «эффекта искусственности».
-
Долговечность. При правильном уходе такие коронки служат десятки лет, не теряя своих свойств и внешнего вида.
Коронки на основе диоксида циркония изготавливаются по цифровым технологиям (CAD/CAM), что обеспечивает идеальную точность прилегания, а значит, и защиту зуба от вторичного кариеса. Узнать больше о возможностях безметаллового протезирования можно, посетив сайт brillant dental в разделе, посвященном циркониевым коронкам.
Капы для выравнивания зубов: Невидимая ортодонтия
Для тех, кто хочет исправить неровности зубного ряда, но не готов к установке традиционных брекет-систем, существуют современные элайнеры — прозрачные съемные капы. Это инновационный метод ортодонтического лечения, который позволяет постепенно и предсказуемо перемещать зубы в правильное положение.
Ключевые достоинства лечения капами (элайнерами):
-
Эстетика. Капы абсолютно прозрачны и практически незаметны на зубах даже при близком общении.
-
Комфорт. Гладкий пластик не травмирует слизистую щек и губ, в отличие от дуг и замочков брекетов.
-
Гигиена. Капы являются съемными, что позволяет чистить зубы и сами элайнеры привычным способом без специальных щеточек и ершиков.
-
Предсказуемость. Весь процесс лечения планируется digitally — с помощью 3D-моделирования можно увидеть будущий результат еще до начала лечения.
Такое лечение эффективно при скученности зубов, наличии промежутков, перекрестном или открытом прикусе легкой и средней степени. Полный комплекс услуг по цифровому планированию улыбки и лечению элайнерами предлагает клиника brillant dental, с чем можно ознакомиться на их странице о капах для выравнивания зубов в Одессе.
Как сделать правильный выбор?
Определиться с оптимальным методом коррекции улыбки может только квалифицированный стоматолог после тщательной диагностики. На первичной консультации врач оценит состояние полости рта, обсудит ваши ожидания и предложит план лечения, который будет учитывать все нюансы. Современные технологии, будь то композитное восстановление, циркониевое протезирование или цифровое ортодонтическое лечение, открывают возможности для создания по-настоящему здоровой и сияющей улыбки, которой вы будете гордиться.